Baby Teeth Eruption and Shedding
In a baby’s mouth there are total number of 20 teeth. 10 in upper arch and 10 in lower arch. In one arch (upper or lower) they have four incisors , two canines and four molars. The different names for baby teeth are milk teeth, primary teeth, deciduous teeth.
When does baby tooth erupt?
The first teeth which erupts are the lower front teeth at 6 months of age and the last teeth to erupt are the upper last molar tooth (5th tooth) at 2 years. Parents should not get alarmed if the child’s teeth doesn’t erupt at the correct age. The eruption timing can vary in children. But visit your doctor if your child doesn’t have all their baby teeth on their 3rd birthday.
What to do while your baby is teething ?
Teething is when the baby tooth pushes through the gums and erupts. The teeth starts to grow and the gums become sore and irritable. Child will feel uncomfortable and cranky during this time and may have trouble sleeping. It is advised to use wet clean cloth or use the back of a cold spoon to gently wipe and soothe the gums. Children can use teething toys which can give them mild relief.
What is exfoliation?
Exfoliation is the shedding of the deciduous teeth. The 20 teeth which grows during 2 years of age are called milk teeth and which will shed and make space for the permanent teeth to erupt. During that time, the tooth may become loose and later after some time will fall out.

Why is it necessary to take care of baby teeth?
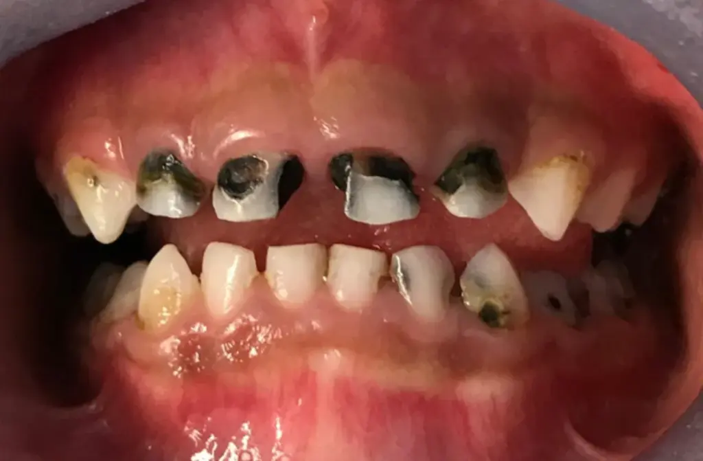
Proper care for the child’s baby teeth is necessary even when these milk teeth fall out later. Any decay can cause them to shed quicker and leave spaces in between. This will cause the teeth to move to close the gaps and cause crowding in the permanent teeth. Any decay or infection in the deciduous teeth can spread to the permanent teeth which is present below.
How to take care of baby teeth?
Even before the eruption of the first tooth, wipe the gums with clean cloth or gently brush with small infant toothbrush without toothpaste. After the eruption of the first tooth carefully brush using very little amount of toothpaste and water. Once they are around the age of 3, pea size amount or less of toothpaste can be used. Do not let your child swallow the toothpaste.
Natal teeth and Neonatal teeth
Natal teeth are teeth which is already present during birth. Neonatal teeth are teeth which is erupted after 30 days of birth. It is advised for the removal of them as it would cause pain to the mother while breastfeeding. It should also be removed if they are loose and can cause choking hazard.

Nursing Bottle Caries
It occurs when the child goes to sleep with bottle. The liquid will pool in the baby’s mouth and due to the long exposure to sugary drink it will cause decay which is called as nursing bottle caries. Do not let your baby sleep with milk, juice or formula bottle in their mouth during naptime or at night. Help your children sleep in a healthier way using soft toys, pacifier or white noise. Don’t use the bottle as pacifier and hold your baby while feeding. After feeding make sure to wipe baby’s gums or teeth with wet and clean cloth.

Keep Smiling & Stay Happy
Dr. Gnanaraj Jayabal
Dental & Implant Surgeon
Denticare Chennai
Mogappair



